Das obere Sprunggelenk ist das am häufigsten verletzte Gelenk. Vor allem beim Sport werden Verletzungen der straffen Bänder – die das Sprunggelenk zu einem funktionsfähigen Gelenk zusammenhalten – auf der Außenseite des Sprunggelenkes beobachtet. Mit rasanteren Unfallmechanismen können hier auch Brüche entstehen, so beim Fußball. Bei Philip Lahm im Jahre 2014 und jetzt im Februar 2016 bei Holger Badstuber können schwere Verletzungen mit einer Verrenkung des Sprunggelenkes gegenüber dem Unterschenkel entstehen.
Von Sprunggelenkverrenkungsbrüchen spricht man, wenn das Sprungbein gegenüber der Sprunggelenksgabel verschoben ist. Einer der Mechanismen, bei dem es zur Verrenkung kommt, ist eine Auswärtsdrehung des Fußes gegenüber dem Unterschenkel. Das Wadenbein bricht, der Bandapparat zwischen Unterschenkelknochen und Wadenbein (die Syndesmose) zerreißt und es kommt zusätzlich zum Abbruch des Innenknöchels oder des Innenbandes (Deltaband) , sodass das Sprungbein gegenüber dem Unterschenkel verschoben ist. Auf dem Röntgenbild ist ein vergrößerter Abstand zwischen Innenknöchel und Sprungbein erkennbar und ein vergrößerter Abstand zwischen Unterschenkel und Wadenbein. Diese Brüche sind instabil und müssen sorgfältig in 3 Ebenen wieder eingerichtet und stabilisiert werden.
Bei einer Gelenkspiegelung (Arthroskopie) können Knorpelbruchstücke und eingeklemmte Band- und Knochenbruchstücke entfernt werden.
In einer offenen Operation wird das Wadenbein wieder in die anatomisch richtige Stellung gebracht und verschraubt. Wichtig ist, die genaue Stellung dreidimensional wieder herzustellen und das Wadenbein an den Unterschenkel korrekt wieder zu fixieren. Dies kann mit ein oder zwei Schrauben (Stellschrauben) oder einem speziellen Carbonfadenkonstrukt erreicht werden (tightrope). Der Innenknöchel wird ebenfalls stabilisiert, eventuell muss das Innenband genäht werden. Auch sollten knöcherne Bandausrisse und Bruchstücke auf der Rückseite des Sprunggelenkes fixiert werden.
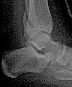
Röntgen- und CT-Abbildungen zu Sprunggelenkverrenkungsbrüchen
Abb. 1:
Röntgenbild eines Sprunggelenkverrenkungsbruches – innen vergrößerte Distanz zwischen Innenseite des Innenknöchels und Sprungbein
Abb. 2:
Computertomographie-Schnittbild in der axialen Ebene – vergrößerter Abstand Malleolus medialis und Talus mit Ausrissfragmenten hintere und vordere Syndesmose
Abb. 3:

Röntgenkontrolle nach der Operation, Wiederherstellung der korrekten Sprunggelenksstellung mit Krallenplatte und tigthrope (Arthrex)
Abb. 4:
CT nach der Operation; Wiederherstellung der Gelenkspalten innen und außen, Sicherung des Abstandes von Wadenbein zu Unterschenkel
Abb. 5:

Schnittebene mit Tightrope (Arthrex)
Abb. 6:

Zentrierung des Wadenbeines in der richtigen anatomischen Stellung zum Unterschenkel
Nachbehandlung nach Sprunggelenks-Verrenkungsbrüchen
Auf Grund der ausgedehnten Band-und Knochenverletzung muss das Sprunggelenk 6 Wochen entlastet und geschient werden. Nach 2 Wochen kann die Bewegungstherapie im Sprunggelenk begonnen werden. Nach 3 Monaten folgen sportliche Belastungen, jedoch braucht es sicher noch 3 Monate, um die volle Belastungsfähigkeit zu erreichen.



