Aktuelle Fälle
PD Dr. Linhardt leitet beim Hausärzteverband Bayern den Thementag Orthopädie
PD Dr. Linhardt vom OZA leitet am 20.5.2017 beim Hausärzteverband Bayern in München den Thementag Orthopädie im Themenblock „Diagnostik und Therapie des Bewegungssystems“. Im Rahmen von strukturierter hausärztlicher Fortbildung und [...]
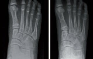
Transversaler Hypermobilitäts Stresstest
Manueller Valgus-Varus Stresstest am 1. Strahl unter Darstellung im ap Röntgenbild Abstract: Hintergrund: Die Mobilität des 1 Strahls in transversaler Richtung fand bisher wenig Beachtung. Methoden: Die Messungen ( n= [...]
Dr. Nell und Dr. Kinast auf DKOU 2016
Vom 25.-28. Oktober 2016 fand in Berlin wie jedes Jahr der Deutsche Kongress für Orthopädie und Unfallchirurgie statt (DKOU 2016), der traditionsgemäß eines der Highlights im jährlichen Kongresskalender der orthopädisch/unfallchirurgischen [...]
Achillessehnen-Tendinose – schneller wieder fit mit PRP und Speedbridge
INTERVIEW mit Medizin Aktuell, Ausgabe Süd Sehnenbeschwerden gehören zu den häufigsten orthopädischen Erkrankungen überhaupt. Besonders unangenehm sind sie jedoch dann, wenn sie alltägliche Bewegungen stören oder gar auf Schritt und [...]
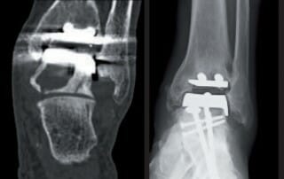
Periprothetische Zysten nach Sprunggelenkendoprothetik
Chirurgische Behandlungsoptionen – Ein Kurzzeit-Follow-up in 17 Fällen Die Autoren stellen in diesem Beitrag unterschiedliche chirurgisch-therapeutische Optionen im Umgang mit großen periprothetischen Zysten (PPZ) nach endoprothetischem Ersatz des oberen Sprunggelenkes [...]
Gelenkerhaltende Korrektur der Planovalgus-Deformität
Diagnostik, Behandlungsoptionen sowie Grenzen einer Korrektur Operative Korrekturen von Planovalgusdeformitäten nach Wachstumsabschluss kommen bei vier Patientengruppen in Betracht: Jugendliche mit schweren flexiblen Deformitäten, bei denen eine Wachstumslenkung durch Arthrorise nicht [...]





