Aktuelle Fälle
Prof. Hamel und Dr. Nell bei der 30. Jahrestagung der Vereinigung für Kinderorthopädie
Prof. Hamel und Dr. Nell vom Zentrum Fuß und Sprunggelenk München nahmen vom 10. - 12. März 2016 in der Ludwig-Maximilians-Universität-München bei der 30. Jahrestagung der Vereinigung für Kinderorthopädie (VKO) [...]
Dr. Kinast als Referent im GRECMIP Fuß und Sprunggelenk-Kurs
Dr. Kinast ist am 10. März 2016 im ArthroLab in München Referent und Instruktor im GRECMIP Fuß und Sprunggelenk-Kurs: Thema: Instabilität des Sprunggelenkes Schwerpunkte im Kurs: Operative Ansätze nach Broström [...]
Patienteninformationsabend mit Dr. Kinast zu minimalinvasive Fußchirurgie in ATOS München
Dr. Kinast lädt Sie am 14.03.2016 um 19 Uhr zum Patienteninformationsabend mit dem Thema „Minimalinvasive Fußchirurgie” in die ATOS Klinik München ein. Ausblick: Minimalinvasive Fußchirurgie steht für chirurgische Eingriffe an [...]
Pedobarographie zur Diagnostik und Therapiekontrolle
Kongress "TECHNISCHE ORTHOPÄDIE 2016 - Funktionelle Technische Orthopädie" am 15. – 17. April 2016, Kongresshaus Garmisch-Partenkirchen Vortrag (Prof. Hamel): "Pedobarographie zur Diagnostik und Therapiekontrolle" (Samstag, 16. April 2016, 09.25 – [...]
Prof. Hamel auf 3. Bonner Fußsymposium zu Coalitiones-Diagnostik und aktuelle Behandlungsstandards
Am 12. Und 13.02.2016 veranstaltete die LVR-Klinik für Orthopädie Viersen im LVR-Landesmuseum in Bonn das 3. Bonner Fußsymposium. Das Zentrum für Fuß- und Sprunggelenkschirurgie im OZA war durch Herrn Prof. [...]
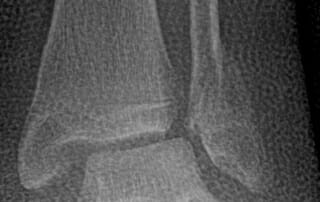
Sprunggelenkverrenkungsbruch – Gelenkspiegelung und offene Operation
Das obere Sprunggelenk ist das am häufigsten verletzte Gelenk. Vor allem beim Sport werden Verletzungen der straffen Bänder – die das Sprunggelenk zu einem funktionsfähigen Gelenk zusammenhalten – auf der [...]




